Article
Cover
RJDS Journal Cover Page

RGUHS Nat. J. Pub. Heal. Sci Vol No: 17 Issue No: 4   pISSN: 

Article Submission Guidelines

Dear Authors,
We invite you to watch this comprehensive video guide on the process of submitting your article online. This video will provide you with step-by-step instructions to ensure a smooth and successful submission.
Thank you for your attention and cooperation.

Original Article
Nashitha Fathima Shamsuddin*,1, Evette Natasha Dsouza2, Reshma Pai K3, Lakshmi Pallavi K4, Harikrishnan S5, Anurag Vinod6,

1Dr. Nashitha Fathima Shamsuddin, Department of Pediatric and Preventive Dentistry, Srinivas Institute of Dental Sciences, Mangalore, Karnataka, India.

2Department of Pediatric and Preventive Dentistry, Srinivas Institute of Dental Sciences, Mangalore, Karnataka, India

3Department of Pediatric and Preventive Dentistry, Srinivas Institute of Dental Sciences, Mangalore, Karnataka, India

4Department of Pediatric and Preventive Dentistry, Srinivas Institute of Dental Sciences, Mangalore, Karnataka, India

5Department of Pediatric and Preventive Dentistry, Srinivas Institute of Dental Sciences, Mangalore, Karnataka, India

6Department of Pediatric and Preventive Dentistry, Srinivas Institute of Dental Sciences, Mangalore, Karnataka, India

*Corresponding Author:

Dr. Nashitha Fathima Shamsuddin, Department of Pediatric and Preventive Dentistry, Srinivas Institute of Dental Sciences, Mangalore, Karnataka, India., Email: nashithafathima777@gmail.com
Received Date: 2024-07-26,
Accepted Date: 2025-01-20,
Published Date: 2025-12-31
Year: 2025, Volume: 17, Issue: 4, Page no. 34-38, DOI: 10.26463/rjds.17_4_6
Views: 232, Downloads: 8
Licensing Information:
CC BY NC 4.0 ICON
This work is licensed under a Creative Commons Attribution-NonCommercial 4.0.
Abstract

Aim: The present study aimed to clinically assess and compare functional band and loop (FB&L) with conventional band and loop space maintainer (CB&L).

Methods: Thirty children aged 4-8 years, each presenting with at least one fresh extraction site of primary molars were included. Fifteen fixed conventional and fifteen functional space maintainers were fabricated and delivered. Clinical parameters assessed included gingival inflammation, food lodgment, wear of the appliance, and presence of caries. Parent and patient satisfaction were assessed through in-depth interviews. Qualitative data were analysed using ATLAS.ti, while descriptive statistical analysis was applied to the quantitative data.

Results: Findings from the in-depth interviews indicated that the fixed functional band and loop space maintainer was effective in preventing future crowding, facilitating mastication, and preventing adjacent tooth movement. At the one-month follow-up, two FB&L cases reported food lodgement, which was resolved with improved oral hygiene instructions. In contrast, at the six-month follow-up, six cases with CB&L reported food lodgement, and five cases exhibited pain and gingival inflammation.

Conclusion: Both types of fixed space maintainers were well accepted by parents and patients. However, the fixed functional band and loop space maintainer demonstrated more favourable outcomes, offering better masticatory efficiency and space preservation compared to the conventional type.

<p class="MsoNormal"><strong>Aim: </strong>The present study aimed to clinically assess and compare functional band and loop (FB&amp;L) with conventional band and loop space maintainer (CB&amp;L).</p> <p class="MsoNormal"><strong>Methods: </strong>Thirty children aged 4-8 years, each presenting with at least one fresh extraction site of primary molars were included. Fifteen fixed conventional and fifteen functional space maintainers were fabricated and delivered. Clinical parameters assessed included gingival inflammation, food lodgment, wear of the appliance, and presence of caries. Parent and patient satisfaction were assessed through in-depth interviews. Qualitative data were analysed using ATLAS.ti, while descriptive statistical analysis was applied to the quantitative data.</p> <p class="MsoNormal"><strong>Results: </strong>Findings from the in-depth interviews indicated that the fixed functional band and loop space maintainer was effective in preventing future crowding, facilitating mastication, and preventing adjacent tooth movement. At the one-month follow-up, two FB&amp;L cases reported food lodgement, which was resolved with improved oral hygiene instructions. In contrast, at the six-month follow-up, six cases with CB&amp;L reported food lodgement, and five cases exhibited pain and gingival inflammation.</p> <p class="MsoNormal"><strong>Conclusion: </strong>Both types of fixed space maintainers were well accepted by parents and patients. However, the fixed functional band and loop space maintainer demonstrated more favourable outcomes, offering better masticatory efficiency and space preservation compared to the conventional type.</p>
Keywords
Space Maintainers, Preventive Dentistry, Gingival Inflammation, Patient Satisfaction, Mastication, Oral Hygiene
Downloads
  • 1
    FullTextPDF
Article

Introduction

The primary dentition plays a crucial role in a child’s growth and development, serving as a guide for the eruption of permanent teeth. Premature loss of primary teeth can lead to several adverse consequences, including space loss, midline shift, impaction of permanent successors, and crowding.1 Maintaining adequate space during the mixed dentition period is essential to preserve masticatory efficiency, ensure sufficient room for the eruption of permanent successors, and maintain the vertical dimension of the dental arch.

The concept of space maintenance was introduced by Brauer in 1941, who defined it as the preservation of space within a dental arch previously occupied by teeth. To achieve this, a dental device, either fixed or removable, is employed to maintain the space left by missing teeth until their permanent successors erupt.2 This prevents adjacent teeth from drifting into the edentulous area, thereby facilitating the normal eruption of permanent teeth. Commonly used fixed space maintainers include the band-and-loop, crown-and-loop, lingual arch, transpalatal arch, and Nance palatal, although removable appliances may also be used for this purpose.3 Among the various non-functional space maintainers (SMs), band and loop (B&L) appliances are the most commonly used due to their high success rate. However, they also present certain disadvantages. One such drawback is the development of poor dietary habits resulting from the child’s inability to chew and eat properly following dental extractions.1 Therefore, it becomes necessary to replace the missing teeth with a prosthetic device that addresses concerns related to space maintenance, esthetics, and mastication.4

The present study was conducted to clinically assess and compare functional band and loop (FB&L) and conventional band and loop (CB&L) space maintainers. The objectives of the study were to evaluate parental acceptance through in depth interviews and to perform a clin ical assessment of the patients.

Materials and Methods

Ethical approval for the study was obtained from the institutional review board prior to commencement. The study included thirty children aged 4-8 years, each presenting with a freshly extracted primary molar. Participants were divided into two groups of fifteen each, receiving either fixed conventional or functional space maintainers through purposive sampling.

Inclusion Criteria

Clinical indicators

• Healthy children with no underlying systemic conditions

• Recently extracted mandibular molars

• Adjacent teeth sound and healthy following extraction

• Absence of abnormal occlusal conditions

Radiographic indicators

• Presence of succedaneous tooth bud covered by at least 1 mm of bone

• Less than 1/3rd of the root formation of the underlying permanent tooth

Exclusion Criteria

• Adjacent teeth exhibiting extensive caries

• Absence of teeth either mesial or distal to the extraction site

A brief case history was recorded for each patient selected, followed by a thorough clinical examination. Digital intraoral periapical (IOPA) radiographs were obtained for the tooth indicated for extraction. Impressions of both arches were made to prepare study models and perform space evaluation.

The patients were then randomly divided into two groups:

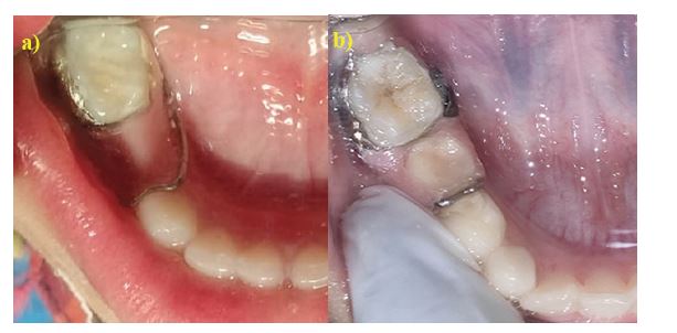
Group 1: Conventional band and loop (CB&L) space maintainer (Figure 1a)

Group 2: Fixed functional band and loop (FB&L) space maintainer (Figure 1b)

Following tooth extraction, the respective space maintainers (CB&L and FB&L) were fabricated and cemented within 72 hours of extraction.

Fabrication of Fixed Functional Space Maintainer

The fabrication procedure for the fixed functional space maintainer was adopted from the case report by Vinothini V et al.2

The initial step involved creating a conventional band and loop space maintainer in the area of tooth loss. A composite tooth was then positioned in the edentulous area of the cast and secured with modeling wax. The occlusion was evaluated using the opposing arch cast, and necessary adjustments were made. Cold-cure acrylic resin was subsequently used to bond the artificial tooth to the loop. After finishing and polishing the appliance, a trial fitting was performed intraorally to check for soft tissue irritation or occlusal discrepancies, followed by the required adjustments. The appliance was then cemented in place using Type I Glass Ionomer Cement (GIC).

Post-Insertion Instructions and Follow-Up

Both children and their parents were provided with instructions regarding maintenance of oral health and care of the appliance.2 These included:

• Brushing teeth daily with fluoride toothpaste

• Rinsing thoroughly after every meal.

• Avoiding sticky or hard foods to preserve the integrity of the appliance and maintain oral health.

Clinical evaluations were performed to assess the following parameters:

• Gingival health was assessed using the criteria established by Löe and Silness (1963), with scores documented at each follow-up visit.5

• Food lodgement was assessed through a questionnaire and visual examination.6

• Appliance dislodgement was evaluated by checking for the signs of decementation, acrylic tooth fracture, loop breakage, solder failure, band breakage, or fracture of the abutment tooth.7

• Caries assessment was conducted through visual examination and tactile exploration using a dental explorer.8

• Parental acceptance was determined via in-depth interviews, conducted either face to face or telephonically.9

All clinical parameters were evaluated at one-month, three-month, and six-month follow-up intervals. An assessment chart was prepared to record and monitor the data collected during each visit.

Qualitative data were analysed using ATLAS.ti, while descriptive statistical analysis was applied to the quantitative data.

Results

Feedback from the interviews revealed several perceptions regaridng both types of space maiantainers. It was reported that fixed functional band and loop space maintainer helped prevent future crowding, facilitated eating, and prevented adjacent tooth movement.(Figure 2) They described the appliance as beneficial and satisfactory, with some noting initial discomfort that resolved over time. They also reported improved chewing efficacy, reduced food lodgement, and better grinding func tion. Responses regarding conventional band and loop appliance indicated that it was effective in preventing adjacent teeth from drifting (Table 1) They expressed overall satisfaction and noted that the wire structure functioned well for chewing. However, some reported minor issues such as food impaction, tendency for the child to place tongue near the appliance, and transient gum issues that subsided over time.

Discussion

The goal of every pedodontist is to provide the most favourable dental treatment for children. As the saying goes, “Prevention is better than cure”, it is crucial to provide preventive care at primary level for the benefit of the patient. Maintaining arch length following the premature loss of deciduous teeth significantly impacts the development of occlusion.10 Failure to preserve this space can result in the loss of horizontal occlusal relationship due to space closure and the loss of vertical occlusal relationship due to the supra-eruption, ultimately leading to malocclusion. Hence, it is essential to the preserve space in cases where normal physiological exfoliation does not occur. The use of a space maintainer is therefore vital in preventing potential occlusal complications.1

Ideally, space maintainers should not interfere with or alter normal growth patterns. They should be straight forward in design, easy to maintain, strong, durable, and stable. Additionally, they should not impinge on the soft tissues or cause irritation, nor should they compromise masticatory function.1 The band and loop remains a reliable option for preserving space following the premature loss of a single tooth, demonstrating a high success rate. However, its primary limitation lies in its lack of functional capability. Consequently, various modifications and newer techniques have been developed to enhance its functionality.11

Fixed functional space maintainers were fabricated using the conventional band and loop design, with the addition of a composite tooth that was subsequently acrylized, finished, and polished, to overcome the disadvantages associated with conventional space maintainers.2

As no single space maintainer fulfils all the ideal requirements, both types were clinically evaluated, and in depth interviews with parents were conducted to assess their benefits and overall acceptance.12

Both parents and patients expressed greater satisfaction with the fixed functional space maintainer, particularly noting improved comfort during eating. Similar outcomes were reported in the study by Vinothini et al. Only two cases exhibited food lodgement at the one month follow-up; however, after reinforcing oral hygiene and appliance care instructions, no food lodgement was observed at the three month evaluation. The appliance design did not hinder oral hygiene maintenance or cause soft tissue trauma, and only one instance of appliance dislodgement was recorded.

In the conventional type of fixed space maintainer, six cases reported food lodgement, while five cases exhibited pain and gingival inflammation findings consistent with the study conducted by Manisha et al.1 Three cases showed dislodgement of appliance, which may be attributed to aberrant tongue habits. Although parents accepted the use of space maintainers, they also reported issues such as food lodgement and aberrant tongue habit.

The dislodgement of the appliance can be attributed to several factors, including insufficient isolation during cementation, unfavourable tooth morphology, aberrant tongue position, the type of cement used, the specific arch involved, and the condition of adjacent teeth.13

Gingival inflammation observed with both types of space maintainers may be due to plaque retention, leading to calculus formation, tissue overgrowth, or impingement of loop on the soft tissues, causing ulceration.14

The occurrence of food lodgement can be attributed to inadequate oral hygiene maintenance. The presence of food debris increases the susceptibility of adjacent teeth to dental caries.15

Conclusion

Managing space and maintaining arch integrity following the premature loss of primary teeth pose significant clinical challenges, particularly when aiming to pre serve masticatory function. The fixed functional space maintainer proved to be especially suitable for young children, as it not only preserved space but also enhanced chewing efficacy. Both types of space maintainers were well accepted by parents and patients; however, the functional space maintainer demonstrated superior outcomes in terms of mastication and space preservation. Further in depth studies are recommended to evaluate the usage of space maintainers across different clinical scenarios and to assess their long-term efficiency.

Conflict of Interest

Nil

Supporting File
References

1. Tyagi M, Rana V, Srivastava N, et al. Comparison of the conventional band and loop space maintainers with modified space maintainers: A split-mouth randomized clinical trial. Int J Clin Pediatr Dent 2021;14(Suppl 1):S63-S68.

2. Vinothini V, Sanguida A, Selvabalaji A, et al. Functional band and loop space maintainers in children. Case Rep Dent 2019;2019:4312049.

3. Aswanth KP, Asokan S, John BJ. Fixed functional space maintainer: A weight gainer: A case report. J Indian Acad Dent Spec Res 2014;1:25-7.

4. Khare V, Nayak PA, Khandelwal V, et al. Fixed functional space maintainer: Novel aesthetic approach for missing maxillary primary anterior teeth. BMJ Case Rep 2013;2013:bcr2013009585.

5. Löe H. The gingival index, the plaque index and the retention index systems. J Periodontol 1967;38(6):Suppl:610-6.

6. Murugan Jeyasree R, Muthuraj T. An insight into classification, diagnosis and comprehensive management of food impaction. In: Sridharan G, editor. Periodontology - New Insights. London: Intech Open; 2023.

7. Bhasin AS. Simplified bonded space maintainer-a case report. J Indian Dent Assoc 2011;5(1):29.

8. Gomez J. Detection and diagnosis of the early caries lesion. BMC Oral Health 2015;15(Suppl 1):S3.

9. Ali A, Hebbal M, Aldakheel N, et al. Assessment of parental knowledge towards space maintainer as an essential intervention after premature extraction of primary teeth. Healthcare (Basel) 2022;10(6):1057.

10. Talukdar A, Pushpalatha C, Chandra P, et al. Band and loop space maintainers in children: A case series. Saudi J Oral Dent Res 2021;6(2):102-104.

11. Setia V, Pandit IK, Srivastava N, et al. Space maintainers in dentistry: Past to present. J Clin Diagn Res 2013;7(10):2402-2405.

12. Garg A, Samadi F, Jaiswal JN, et al. Metal to resin: a comparative evaluation of conventional band and loop space maintainer with the fiber reinforced composite resin space maintainer in children. J Indian Soc Pedod Prev Dent 2014;32(2):111-6.

13. Sharath Chandra H, Krishnamoorthy SH, John­son JS, et al. ILL effects of conventional band and loop space maintainers: Time to revolutionise. In­ternational Dental & Medical Journal of Advanced Research 2018;4:1-3.

14. Goenka P, Sarawgi A, Marwah N, et al. Simple fixed functional space maintainer. Int J Clin Pediatr Dent 2014;7(3):225-8.

15. Sathyaprasad S, Krishnareddy MG, Vinod V, et al. Comparative evaluation of fixed functional cantilever space maintainer and fixed nonfunctional space maintainer: A randomized controlled trial. Int J Clin Pediatr Dent 2022;15(6):750-760.

HealthMinds Logo
RGUHS Logo

© 2024 HealthMinds Consulting Pvt. Ltd. This copyright specifically applies to the website design, unless otherwise stated.

We use and utilize cookies and other similar technologies necessary to understand, optimize, and improve visitor's experience in our site. By continuing to use our site you agree to our Cookies, Privacy and Terms of Use Policies.